Lompat ke konten Lompat ke sidebar Lompat ke footer

Interesting Facts About Canavan Disease

Canavan Disease By Abraham Hyta

Canavan Disease By Abraham Hyta

Interesting facts about canavan disease. Canavan disease causes interrupted communication of the nerves that connect the brain to the muscles. FACTS ABOUT CANAVAN DISEASE Canavan Disease Explained Canavan disease is an inherited metabolic disorder in which harmful amounts of N-acetylaspartic acid NAA accumulate within the central nervous system. About Canavan Disease Canavan disease is a progressive fatal neurological disorder that begins in infancy.

What causes Canavan disease. Canavan Disease Explained How the Genetics Work Canavan disease is an inherited metabolic disorder in which harmful amounts of N-acetylaspartic acid NAA accumulate within the central nervous system. This disease is one of a group of genetic disorders called leukodystrophies.

The cause of the disease is a genetic disorder that causes oligodendrocytes to remain immature and then die thereby not. The ASPA gene is responsible for instructing the body to produce an enzyme called aspartoacylase. It is caused by an inherited genetic abnormality.

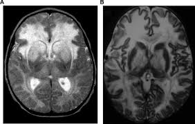
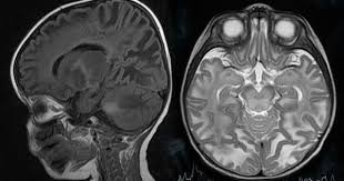
In Canavan disease a genetic mutation on chromosome 17 causes a deficiency of an enzyme called aspartoacylase. Canavan disease or Canavan-Van Bogaert-Bertrand disease is a rare and fatal autosomal recessive degenerative disorder that causes progressive damage to nerve cells and loss of white matter in the brain. The lack of an essential enzyme causes deterioration of the white matter myelin in the brain thereby preventing the proper transmission of.

The brain is not affected and many individuals with a mild form of the disorder may not show any symptoms. Canavan disease can cause mental retardation feeding difficulties abonormal muscle tone floppiness or stiffness poor head control abnormally enlarged head. The triad of hypotonia head lag and macrocephaly after age three to five months Poor visual following and difficulties with suck and swallow Developmental delays with regression in infantile form and without regression in mildjuvenile.

Canavan disease is usually diagnosed within the first 3 to 6 months of life when babies do not meet their early motor milestones. In type 2 Gaucher disease acute infantile neuropathic Gaucher disease symptoms including seizures spasticity limb rigidity are apparent by 3 months of ageInfants may have extensive and progressive brain brain damage. Canavan disease is a gene-linked neurological disorder in which the brain degenerates into spongy tissue riddled with microscopic fluid-filled spaces.

How is Canavan disease. Canavan Disease Synonyms of Canavan Disease.

Canavan Disease By Abraham Hyta

Canavan Disease By Abraham Hyta

Canavan Disease By

Canavan Disease By

Canavan Disease By Abraham Hyta

Canavan Disease By Abraham Hyta

Canavan Disease Infographic Knowing Neurons

Canavan Disease Infographic Knowing Neurons

Canavan Disease By Isaac Ross

Canavan Disease By Isaac Ross

Canavan Disease Ppt Download

Canavan Disease Ppt Download

Canavan Disease The Canavan Research Foundation

Canavan Disease The Canavan Research Foundation

Canavan S Disease By Carissa D Agostino Ppt Download

Canavan S Disease By Carissa D Agostino Ppt Download

Canavan Disease Symptoms Treatment Complications And More

Canavan Disease Symptoms Treatment Complications And More

Genetic Disorder Project Canavan Disease By Nicole Ransom

Genetic Disorder Project Canavan Disease By Nicole Ransom

Canavan Disease Medlineplus Genetics

Canavan Disease Medlineplus Genetics

Canavan Disease By Abraham Hyta

Canavan Disease By Abraham Hyta

Https Nxgenmdx Com Wp Content Uploads 2014 09 Fact Sheet Canavan Disease Pdf

Https Nxgenmdx Com Wp Content Uploads 2014 09 Fact Sheet Canavan Disease Pdf

Non Genetic Therapeutic Approaches To Canavan Disease Journal Of The Neurological Sciences

Non Genetic Therapeutic Approaches To Canavan Disease Journal Of The Neurological Sciences

Canavan Disease 1

Canavan Disease 1

Canavan Disease Symptoms Diagnosis And Treatment

Canavan Disease Symptoms Diagnosis And Treatment

Pdf Lithium Citrate For Canavan Disease

Pdf Lithium Citrate For Canavan Disease

Impact Of Gene Patents And Licensing Practices On Access To Genetic Testing And Carrier Screening For Tay Sachs And Canavan Disease Genetics In Medicine

Impact Of Gene Patents And Licensing Practices On Access To Genetic Testing And Carrier Screening For Tay Sachs And Canavan Disease Genetics In Medicine

Canavan Disease Fact Sheet By Spindawg On Deviantart

Canavan Disease Fact Sheet By Spindawg On Deviantart

Canavan Disease Causes Symptoms Diagnosis Prognosis And Treatment

Canavan Disease Causes Symptoms Diagnosis Prognosis And Treatment

Canavan Disease In A 6 Month Old Infant Who Presented With Hypotonia Download Scientific Diagram

Canavan Disease In A 6 Month Old Infant Who Presented With Hypotonia Download Scientific Diagram

Canavan Disease The Causes Of Detection Of Symptoms Of And Treatment Of Canavan Disease Ppt Download

Canavan Disease The Causes Of Detection Of Symptoms Of And Treatment Of Canavan Disease Ppt Download

Raav Gene Therapy In A Canavan S Disease Mouse Model Reveals Immune Impairments And An Extended Pathology Beyond The Central Nervous System Molecular Therapy

Raav Gene Therapy In A Canavan S Disease Mouse Model Reveals Immune Impairments And An Extended Pathology Beyond The Central Nervous System Molecular Therapy

1

1

Canavan Disease Wikipedia

Canavan Disease Wikipedia

Canavan Disease Knowing Neurons

Canavan Disease Knowing Neurons

Ppt Canavan Disease Powerpoint Presentation Free Download Id 2960692

Ppt Canavan Disease Powerpoint Presentation Free Download Id 2960692

Riverview Science Canavan Diseas Kayla

Riverview Science Canavan Diseas Kayla

Docking Molecular Dynamics And Free Energy Studies On Aspartoacylase Mutations Involved In Canavan Disease Sciencedirect

Docking Molecular Dynamics And Free Energy Studies On Aspartoacylase Mutations Involved In Canavan Disease Sciencedirect

Long Term Follow Up After Gene Therapy For Canavan Disease Science Translational Medicine

Long Term Follow Up After Gene Therapy For Canavan Disease Science Translational Medicine

Frontiers Increasing N Acetylaspartate In The Brain During Postnatal Myelination Does Not Cause The Cns Pathologies Of Canavan Disease Molecular Neuroscience

Frontiers Increasing N Acetylaspartate In The Brain During Postnatal Myelination Does Not Cause The Cns Pathologies Of Canavan Disease Molecular Neuroscience

Mutation Story Canavan Disease Zayd S Blog

Mutation Story Canavan Disease Zayd S Blog

Two Sick Children And A 1 5 Million Bill One Family S Race For A Gene Therapy Cure Mit Technology Review

Two Sick Children And A 1 5 Million Bill One Family S Race For A Gene Therapy Cure Mit Technology Review

Tobins Journey Here S Some Interesting Facts On Rare Facebook

Tobins Journey Here S Some Interesting Facts On Rare Facebook

Exploring A Potential New Therapy For Fatal Canavan Disease Dana Foundation

Exploring A Potential New Therapy For Fatal Canavan Disease Dana Foundation

Canavan Disease

Canavan Disease

Canavan Disease The Stem Cellar

Canavan Disease The Stem Cellar

Canavan Disease Task 02 Alignments Bioinformatikpedia

Canavan Disease Task 02 Alignments Bioinformatikpedia

A Brother S Love Fights Genetic Disease Dna Science

A Brother S Love Fights Genetic Disease Dna Science

2

2

Spotlight On Canavan Disease The Facts You Need To Know By Harry Stylli Medium

Spotlight On Canavan Disease The Facts You Need To Know By Harry Stylli Medium

Adeno Associated Virus Mediated Aspartoacylase Gene Transfer To The Brain Of Knockout Mouse For Canavan Disease Molecular Therapy

Adeno Associated Virus Mediated Aspartoacylase Gene Transfer To The Brain Of Knockout Mouse For Canavan Disease Molecular Therapy

Canavan Disease

Canavan Disease

Canavan Disease Causes Symptoms Diagnosis Prognosis And Treatment

Canavan Disease Causes Symptoms Diagnosis Prognosis And Treatment

Canavan Disease

Canavan Disease

Untitled

Untitled

Canavan Disease

Canavan Disease

Aspartoacylase An Overview Sciencedirect Topics

Aspartoacylase An Overview Sciencedirect Topics

Https Encrypted Tbn0 Gstatic Com Images Q Tbn And9gcrbbfcgv98hmdd 8hhzuqtejv9mbkvj M0 Pf1iwiiy2agwvoab Usqp Cau

Https Encrypted Tbn0 Gstatic Com Images Q Tbn And9gcrbbfcgv98hmdd 8hhzuqtejv9mbkvj M0 Pf1iwiiy2agwvoab Usqp Cau

ASPA breaks N-acetylaspartate acid NAA into building blocks essential for building myelin.

Canavan disease has been classified as one of a group of genetic disorders known as the leukodystrophies. What causes Canavan disease. ASPA breaks N-acetylaspartate acid NAA into building blocks essential for building myelin. Canavan disease facts Canavan disease is a gene-linked neurological disorder that results in brain tissue degeneration. Individuals with Canavan disease do not produce enough of one of the enzymes. Canavan disease is usually diagnosed within the first 3 to 6 months of life when babies do not meet their early motor milestones. Canavan Disease Synonyms of Canavan Disease. Canavan Disease Explained How the Genetics Work Canavan disease is an inherited metabolic disorder in which harmful amounts of N-acetylaspartic acid NAA accumulate within the central nervous system. Subdivisions of Canavan Disease.


Canavan disease or Canavan-Van Bogaert-Bertrand disease is a rare and fatal autosomal recessive degenerative disorder that causes progressive damage to nerve cells and loss of white matter in the brain. This leads to abnormal muscle tone weakness or stiffness and a large poorly controlled head. Canavan disease facts Canavan disease is a gene-linked neurological disorder that results in brain tissue degeneration. Canavan disease is rare genetic neurological disorder characterized by the spongy degeneration of. Canavan Disease Synonyms of Canavan Disease. Canavan disease should be suspected in individuals with 22. The lack of an essential enzyme causes deterioration of the white matter myelin in the brain thereby preventing the proper transmission of.

Posting Komentar untuk "Interesting Facts About Canavan Disease"